• Highlights from ESMO 2023
  • Podcast Series: Discussions on NCCN Guidelines for MCL and CLL
  • Case Study: How Would You Treat…
  • Podcast Series: Discussions on CLL
  • And the Diagnosis is…
  • Highlights from ASCO 2024: Focus On Endometrial Cancer
  • Cancer Patient Resource Center
  • HRD Testing in Advanced Ovarian Cancer
  • Patient-Matched Tumor-Normal Sequencing
  • Transforming colorectal cancer management with tumor informed ctDNA testing

Advanced Search

  • Featured:
  • Genomic Profiling in Advanced Cancer Therapy Selection
  • Challenge One
  • Challenge Two

Challenge your diagnostic skills

Answer each quiz question to better understand the patient’s journey and determine the correct diagnosis.


  • 1 Question 1
  • 2 Question 2
  • 3 Question 3
  • 4 Final diagnosis
Final diagnosis

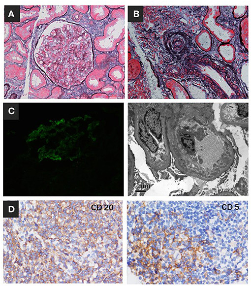
Based on the results of the renal biopsy, bone marrow biopsy, and lymph node biopsy, the correct diagnosis is CLL-associated monoclonal gammopathy of renal significance (MGRS).

The CLL was determined to be stage II according to the Rai system.

Renal biopsy findings: (A) The glomerulus showed segmental endothelial cell proliferation and swelling (periodic acid-silver methenamine, Masson staining, ×400). (B) Interlobular renal arteries showed intimal swelling and contained mainly lucent amorphous material with a mucoid appearance, which was classified as mucoid intimal hyperplasia. (C) Immunofluorescence staining showed C3 deposits in the mesangial area. The expansion of the lucent subendothelial zone of the glomerular capillary had dense deposition in the subendothelial and mesangial area. (D) Immunohistochemistry showed monotypic lymphocytes infiltrating the renal interstitium that were positive for CD20 and CD5.

References:

Hallek M, Cheson BD, Catovsky D, Caligaris-Cappio F, Dighiero G, Döhner H, et al. iwCLL guidelines for diagnosis, indications for treatment, response assessment, and supportive management of CLL. Blood 2018; 131(25):2745-2760.

Ma T, Wang H, Su T, Wang S. Case Report: Chronic Lymphocytic Leukemia With Recurrent Complement-Mediated Thrombotic Microangiopathy and C3 Glomerulonephritis. Front Med (Lausanne) 2022; 9:813439.

Strati P, Nasr SH, Leung N, Hanson CA, Chaffee KG, Schwager SM, et al. Renal complications in chronic lymphocytic leukemia and monoclonal B-cell lymphocytosis: the Mayo Clinic experience. Haematologica 2015; 100(9):1180-8.

Wanchoo R, Bernabe Ramirez C, Barrientos J, Jhaveri KD. Renal involvement in chronic lymphocytic leukemia. Clin Kidney J 2018; 11(5):670-680.

  • Previous

© Copyright 2025. All Rights Reserved. Privacy Policy

Wolter Kluwer

Your Privacy

To give you the best possible experience we use cookies and similar technologies. We use data collected through these technologies for various purposes, including to enhance website functionality, remember your preferences, show the most relevant content, and show the most useful ads. You can select your preferences by clicking the link. For more information, please review our Privacy and Cookie Policy.

|
|

Cookie Policy

Information about our use of cookies

Wolters Kluwer ("we" or "us") wants to inform you about the ways we process your personal information. In this Privacy & Cookie Notice we explain what personal information we collect, use and disclose.

Personal information means any data relating to an individual who can be identified, directly or indirectly, based on that information. This may include information such as names, contact details, (online) identification data, online identifiers, or other characteristics specific to that individual.

Read More