• Highlights from ESMO 2023
  • Podcast Series: Discussions on NCCN Guidelines for MCL and CLL
  • Case Study: How Would You Treat…
  • Podcast Series: Discussions on CLL
  • And the Diagnosis is…
  • Highlights from ASCO 2024: Focus On Endometrial Cancer
  • Cancer Patient Resource Center
  • HRD Testing in Advanced Ovarian Cancer
  • Patient-Matched Tumor-Normal Sequencing
  • Transforming colorectal cancer management with tumor informed ctDNA testing

Advanced Search

  • Featured:
  • Genomic Profiling in Advanced Cancer Therapy Selection
  • Challenge One
  • Challenge Two

Challenge your diagnostic skills

Answer each quiz question to better understand the patient’s journey and determine the correct diagnosis.


  • 1 Question 1
  • 2 Question 2
  • 3 Question 3
  • 4 Final diagnosis
Final diagnosis

Inguinal lymph node and bone marrow biopsies were performed, followed by immunohistochemical and fluorescence in-situ hybridization (FISH) analyses.

Analysis of the lymph node sample revealed effacement of lymph node architecture, with a vague nodular growth pattern, exhibiting sheets of pleomorphic intermediate-to-large lymphocytes with irregular nuclear borders, vesicular chromatin, and prominent nucleoli. Immunohistochemistry analysis showed that the neoplastic lymphocytes were positive for CD20 (strong and diffuse), cyclin D1 (nuclear), and BCL-2, and negative for CD5, CD10, and BCL-6. CD21 and CD23 staining highlighted the follicular dendritic cell meshwork but these markers were not co-expressed on lymphocytes. The ki-67 proliferation index was approximately 25%. FISH analysis showed CCND1/IGH fusion in 27% of the cells. Overall, 60% of the cells had TP53 mutations.

Lymph node (LN) biopsy findings: (A) LN, hematoxylin and eosin (20×): sheets of pleomorphic, intermediate-to-large lymphocytes with irregular nuclear borders, vesicular chromatin, and prominent nucleoli. (B) CD20, high-power, shows strong and diffuse positivity. (C) CD5 is negative in neoplastic lymphocytes and positive in background bystander T cells. (D) Cyclin D1, high-power, shows strong, diffuse nuclear expression. (E) Ki67, high proliferative rate. (F) CD21, follicular dendritic cell meshwork. (H) CD23 positive in follicular dendritic cell meshwork and negative in neoplastic cells. (I) CD10 negative in neoplastic lymphocytes but positive in residual reactive germinal centers. (J) BCL-6 positive in reactive germinal centers and negative in neoplastic cells.

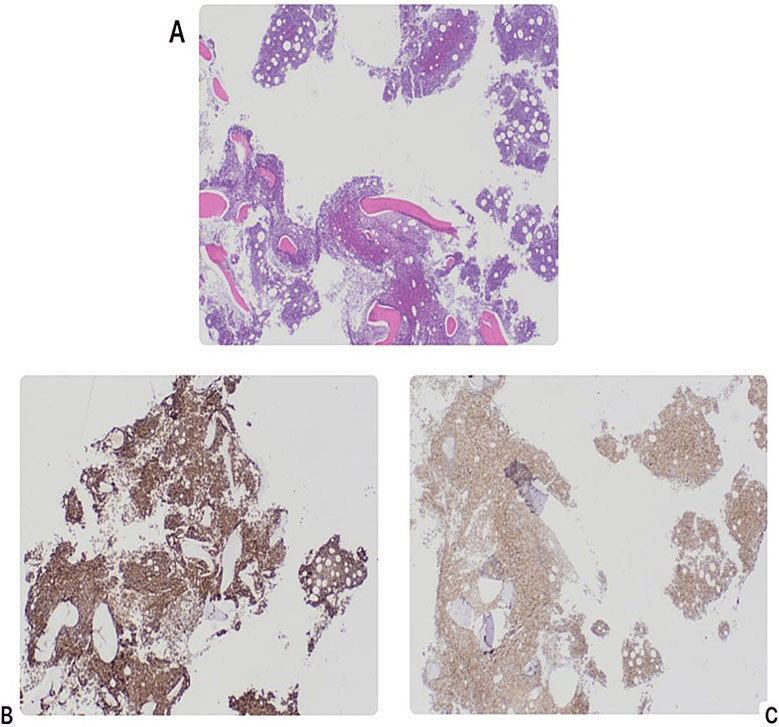
The bone marrow was hypercellular and effaced by a diffuse interstitial lymphoid infiltrate that had a similar morphology to the one observed in the lymph node. Trilineage hematopoiesis was markedly decreased. A panel of immunohistochemical stains was performed with appropriately reactive controls. The neoplastic lymphocytes were positive for CD20 and cyclin D1 and negative for all the other markers utilized, including CD5 and 138.

Bone marrow (BM) biopsy findings: (A) BM hematoxylin and eosin, low power: effacement by a diffuse interstitial lymphoid infiltrate. (B) Mantle BM immunostains, positive for CD20. (C) Mantle BM immunostains, positive for cyclin D1. The correlation of the immunophenotypic and cytogenetic data with the immunohistochemical analyses of the nodal tissues and bone marrow led to a final diagnosis of high-risk, TP53-mutated, CD5-negative mantle cell lymphoma (pleomorphic variant).

References:

Alsaati AM, Alasiri MM, Alansari BA, et al. Unusual Presentation of Leukemic-Phase Mantle Cell Lymphoma: A Case Report. Cureus 2023; 15:e33239.

Jain P, Wang ML. Mantle cell lymphoma in 2022-A comprehensive update on molecular pathogenesis, risk stratification, clinical approach, and current and novel treatments. Am J Hematol 2022; 97:638-656.

Kwoun WJ, Ahn JY, Park PW, et al. How useful is bone marrow study as an initial investigative tool without lymph node biopsy in malignant lymphoma: eleven years of experience at a single institution. J Clin Lab Anal 2019; 33:e22841.

Pizzi M, Sbaraglia M, Dal Santo L, et al. Higher accuracy of surgical over core needle biopsy for the diagnosis of lymphoproliferative disorders. Int J Lab Hematol 2023; 45:516-521.

  • Previous

© Copyright 2025. All Rights Reserved. Privacy Policy

Wolter Kluwer

Your Privacy

To give you the best possible experience we use cookies and similar technologies. We use data collected through these technologies for various purposes, including to enhance website functionality, remember your preferences, show the most relevant content, and show the most useful ads. You can select your preferences by clicking the link. For more information, please review our Privacy and Cookie Policy.

|
|

Cookie Policy

Information about our use of cookies

Wolters Kluwer ("we" or "us") wants to inform you about the ways we process your personal information. In this Privacy & Cookie Notice we explain what personal information we collect, use and disclose.

Personal information means any data relating to an individual who can be identified, directly or indirectly, based on that information. This may include information such as names, contact details, (online) identification data, online identifiers, or other characteristics specific to that individual.

Read More