• Highlights from ESMO 2023
  • Podcast Series: Discussions on NCCN Guidelines for MCL and CLL
  • Case Study: How Would You Treat…
  • Podcast Series: Discussions on CLL
  • And the Diagnosis is…
  • Highlights from ASCO 2024: Focus On Endometrial Cancer
  • Cancer Patient Resource Center
  • HRD Testing in Advanced Ovarian Cancer
  • Patient-Matched Tumor-Normal Sequencing
  • Transforming colorectal cancer management with tumor informed ctDNA testing

Advanced Search

  • Featured:
  • Genomic Profiling in Advanced Cancer Therapy Selection
  • Challenge One
  • Challenge Two

Challenge your diagnostic skills

Answer each quiz question to better understand the patient’s journey and determine the correct diagnosis.


  • 1 Question 1
  • 2 Question 2
  • 3 Question 3
  • 4 Final diagnosis
Question 2

Question 2 of 3 – Select the correct answer

A full-body CT scan and peripheral blood smear analysis were performed.

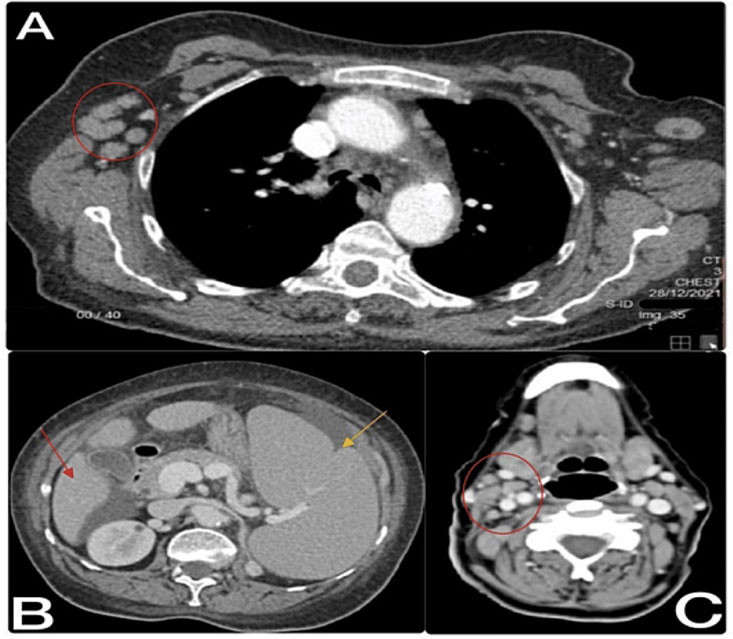
  • Imaging tests: Full-body CT showed supra- and infra-diaphragmatic lymphadenopathy, hepatosplenomegaly, and a suspicious left adrenal gland lesion. CT examination of the brain showed no evidence of acute brain injury or space-occupying lesions.
  • Laboratory tests: A peripheral blood smear test showed abnormal mononuclear cells, atypical lymphocytes, true thrombocytopenia, and a manual blast count of less than 20%.

Full-body CT findings: (A) CT of the chest showed multiple enlarged axillary lymph nodes (red circle). (B) CT of the abdomen showed hepatosplenomegaly with minimal ascites (red arrow - spleen, yellow arrow - liver). (C) CT of the neck showed multiple prominent upper neck lymph nodes (red circle - cervical lymph node).

Choose your next step:

Continue
  • Previous
  • Next

© Copyright 2025. All Rights Reserved. Privacy Policy

Wolter Kluwer

Your Privacy

To give you the best possible experience we use cookies and similar technologies. We use data collected through these technologies for various purposes, including to enhance website functionality, remember your preferences, show the most relevant content, and show the most useful ads. You can select your preferences by clicking the link. For more information, please review our Privacy and Cookie Policy.

|
|

Cookie Policy

Information about our use of cookies

Wolters Kluwer ("we" or "us") wants to inform you about the ways we process your personal information. In this Privacy & Cookie Notice we explain what personal information we collect, use and disclose.

Personal information means any data relating to an individual who can be identified, directly or indirectly, based on that information. This may include information such as names, contact details, (online) identification data, online identifiers, or other characteristics specific to that individual.

Read More